2017-03-17

こんばんは🌙
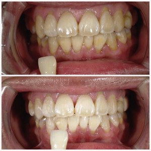
今日は当院のホワイトニングを紹介致します✨
当院のホワイトニングは、JBA社のbeyond®︎を採用しております。
オフィスホワイトニング導入にあたり、いくつかのシステム(機械+薬品)を医院内でスタッフ同士で試用してみたのですが、ビヨンド®︎が最も副作用が少なく、短時間に歯が白くなったため、スタッフの希望があり採用致しました✨


ビヨンドホワイトニングは強力なホワイトニング効果を維持しながら、有害な紫外線や過度な発熱を抑えた、安全な設計のもとに作られております。また、他者と比較して短時間で強力な結果が得られる事が魅力です✨
ホワイトニングは1989年にアメリカで実用化された技術です。歯の表面に付着した色素を落とすだけでなく、歯の中にある色素を分解して歯の明るさを上げて歯自体を白くしていくものです。

ホワイトニングは必ず個室で行います。


かなり、効果は大きいです💪
ご興味がある方は、一度スタッフにお声がけ下さい。