2023-04-10

歯の白い斑点 削らずに治せる?
早速ですが、【ホワイトスポット】という言葉をご存知ですか?
ふとした時に気になる歯の表面に現れた白い斑点、
もしかしたら削らずに治せるかもしれません!
ホワイトスポットとは?
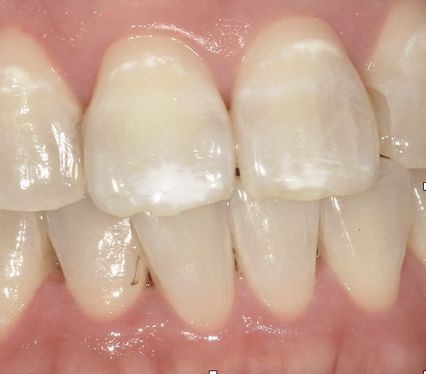
歯の表面に時々みられる下の写真のような白い斑点のことをホワイトスポットと言います。

歯の白い斑点(ホワイトスポット)ができる訳
ホワイトスポットが形成される原因としては、
初期むし歯・エナメル質形成不全症などが挙げられます。
初期むし歯
むし歯菌が作り出す酸によって、歯の成分であるカルシウムなどが溶け出してしまうことを脱灰といいます。
この脱灰の中でもむし歯の初期段階、
いわゆる「初期むし歯」と呼ばれる状態になるとホワイトスポットが生じることがあります。
さらにむし歯が進行してしまうと削って治療しなければなりませんが、
この初期むし歯の状態であれば、キシリトールやフッ素配合歯磨き粉を使用して再石灰化を促すことで、
むし歯の進行を抑制することができます。
エナメル質形成不全症
胎児期の何らかの障害であったり、
乳歯の時期に外傷を受けたり、栄養不良、
乳歯の根っこに大きな膿を作ってしまったりすることが原因で
歯の表面のエナメル質が形成されず、
その状態で永久歯が生えてしまう場合があります。
これはエナメル質形成不全症と呼ばれる疾患で、
これにより歯が白濁する事があります。
脱灰深さが深かったり、
広範囲に及ぶ場合には従来通り歯を削って
樹脂の材料(コンポジットレジン)で埋める治療などを行う場合もありますが、
浅い時には「アイコン」を用いることで歯を削らずに治療できる場合があります。
それでは、この「アイコン」についてご紹介していきましょう。
ホワイトスポットが浅い場合の治療方法
アイコンによる削らない治療

アイコン治療に用いられる器具
アイコンとは、液状の樹脂によって歯の表面に
特殊なコーティングを施す薬剤です。
このコーティングによりエナメル質が補強され、
ミネラル等の溶出も防ぎます。
適応症は完全にはホワイトスポットが消えないこともありますが、
かなり目立たなくなることもあり治療後に喜ばれることも多い治療方法です。
何より、歯を削らずに治せることが最大のメリットです。
アイコン治療の流れ

アイコン治療の流れ
(ヨシダ アイコンHPより引用)
まず、☆ラバーダムシートと呼ばれるゴムのマスクを装着し、
ホワイトスポットに薬液を塗っていきます。
水で洗ったり、乾燥させたりしながら歯面の処理を進め、
最後に液状の樹脂を塗布して光照射することで硬化させたら終了です。
樹脂の塗布と光照射は2回繰り返します。
☆ラバーダム防湿法については以下の記事をご覧ください。
https://www.tomimori-shika.net/tidbits/2952
ホワイトスポット治療 症例
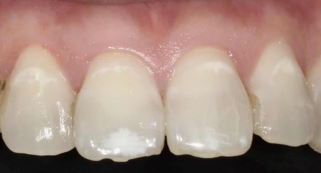
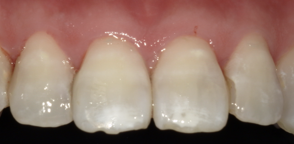
最後に、当院での治療例です♪

🔼Before
🔽After

処置前に比べると、処置後白い線が薄くなっていることがわかります。
このように見た目で気になるホワイトスポットも、
脱灰深さが浅ければ歯を削らずに治せるかもしれません。
もしご興味ございましたら、ぜひお気軽に一度当院スタッフまでご相談ください!!

記事作成者:歯科医師 天羽萌
🔽親知らず•インプラント•静脈内鎮静法の特設サイトもご一緒にご覧ください♪
●親知らず特設サイト https://oyasirazu-tomimori.com

○インプラント特設サイト https://implant-tomimori.com

●静脈内鎮静法 特設サイト https://sedation-tomimori.com

https://www.tomimori-shika.net