2019-07-11

当院では、院長の口腔外科病院での経験を生かして様々な外科的な治療を行っています。
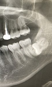
一般的なものでは埋もれている親知らずの抜歯や、虫歯などの理由で根っこだけになってしまった歯の抜歯があります。

※この程度の親知らずであれば特に問題はありません
その他、骨の隆起の切除、歯茎の形を整える手術、歯周病の手術、インプラントやそれに付随する骨を増大させる手術など様々な治療を行っています。

清潔な環境で、きちんと処置を行うために個室の清掃・器具の滅菌をしております。

院長・スタッフは処置前に床やその他の消毒作業を行い、患者様をお待ちしております。


どうか、突然のキャンセルのないように宜しくお願い致します。