2017-08-23

院長の冨森です。
先週末は講習会に行ったり、手術の見学に行かせていただいたりと充実した日々を過ごしました。

さて、長期休みに入り親知らず(智歯・8番)の抜歯が多くなっております。
お口の中に、親知らずが変な角度で存在すると、そこが細菌の温床になってしまいます。

お口の中は細菌だらけで、一説によると肛門よりも細菌が多いと言われています。
歯周病(歯槽膿漏)は歯茎が腫れる、血が出るというのが一般的な症状ですが、実は気づかないまま進行し歯の周りの骨が溶けていることがよくあります。

土台の骨が溶けることで、歯はグラグラしてしまいます。
お口の中を綺麗にお掃除する人と歯を磨かない人では、口内の細菌数に数千億個の差が出ます。
歯周病細菌は、歯茎を悪くするだけではなく、肺炎や感染性心内膜炎などの感染症の原因菌として検出されることがあります。
このような細菌をお口の中に “飼っている” 状態にしてしまう原因の一つが親知らずです。

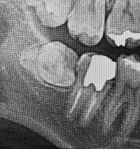
斜めに生えた親知らずは、奥歯との間に汚れがたまり、歯周病や虫歯を引き起こします。
親知らずは抜けば無くなりますが、奥歯は一生必要ですので、無傷のうちになんとかしたいところです。
親知らずは、口の中からはほとんど見えてないことも多いですが、骨からは外に出ていて、手前の奥歯に引っかかっている事が多いです。
引っかかった親知らずは上から歯茎が乗っかり、隙間だらけでとても汚れがたまる “不潔域” となってしまいます。

親知らずの抜歯は、専門的な技術が必要です。
当院は日本口腔外科学会認定医が処置致します。

親知らずなら、どんな場合でも抜歯するわけではありません。噛み合わせや生え方、手前の歯の状況によって判断いたします。
実績としましては、2016年6月〜2017年7月までの12ヶ月間で、209本 (上77本・下132本) の親知らずを抜歯し、特に大きな障害やトラブルはありません。
一度、歯科医師・歯科衛生士にご相談いただければ、適切な治療が可能です。