2017-03-02

日本で抜歯となる原因の一位は歯周病です。
歯周病は症状が出る頃には、残念ながらかなり進行してしまっていて、手遅れになることが多いです。
歯周病は、簡単に言えばお口の中に歯周病菌が増えることによって、歯を支えている顎の骨が溶けてしまう病気です。

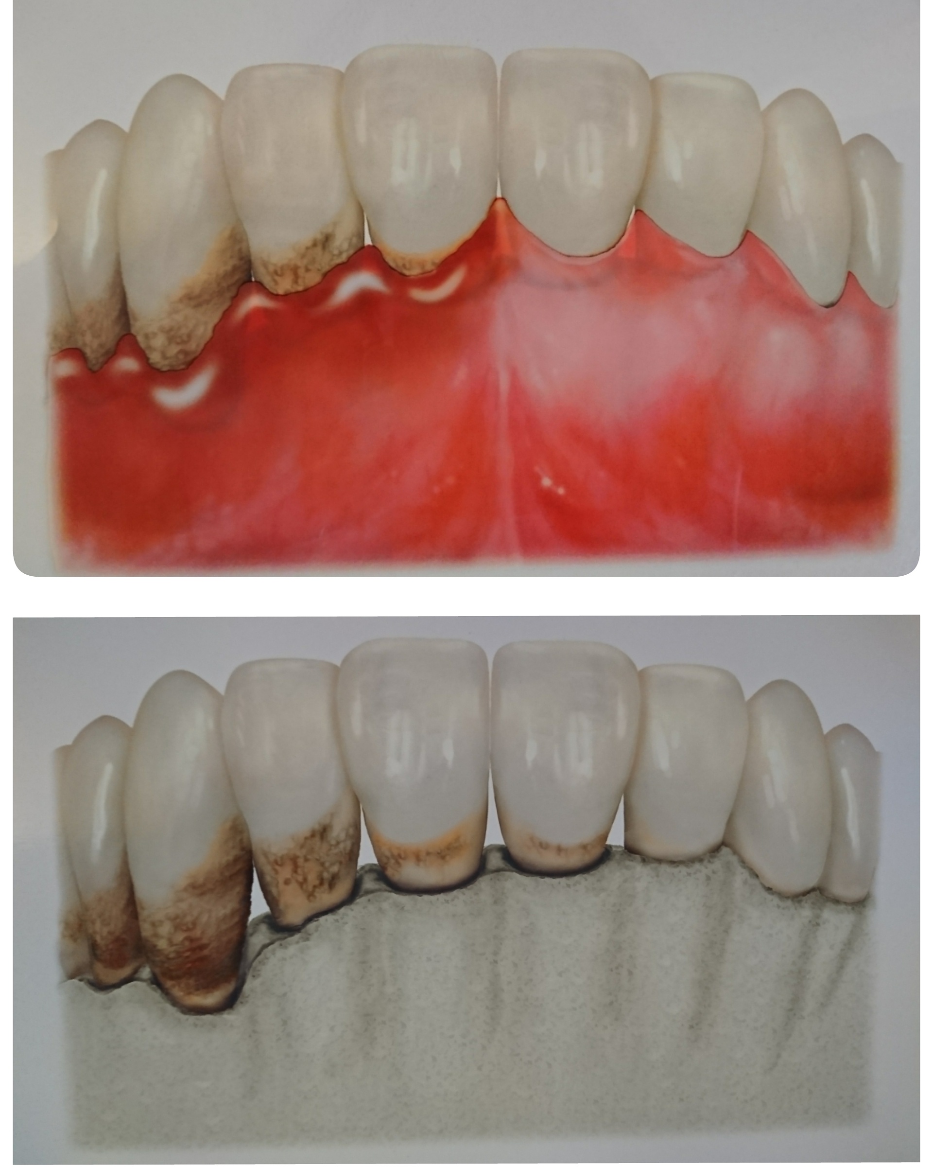
上の写真をみると、左の歯茎と右の歯茎の位置は同じように見えます。
しかし、歯茎をめくると、下の写真のように歯を支えている骨が溶けてしまい、歯の根っこが露出しているのがわかると思います。
歯茎が炎症で腫れてしまっているため、骨が溶けていても、歯茎はそこまで下がっていないように見えてしまいます。
残念ながら、無くなってしまった骨が元に戻ることはありません。
歯周病の検査は、この歯茎の腫れ具合を検査します。

歯茎の深さをプローベという定規のような道具で測ります。
深さが4mm以上あれば、歯茎が腫れているサインです。
まだ骨が溶けていなくて、歯茎が腫れているだけの状態ならクリーニングをして汚れを除去することによって、歯茎が引き締まり元の状態に戻ります。
歯茎の下に入り込んでいる汚れは歯ブラシでは届かないので、ご自身ではなかなか取ることができません。
まず、ご自身のお口の中の状況を確認し、歯周病予防をしましょう!!